Ecografia di Piede Ecografia piede piede piattopiede normalepiede cavo

| Home | Patologie | Anatomia | Ecografia Water-Bath | Relazioni/handout | Contatti/Curricula |
Avviso: Le immagini contenute in questo sito non possono essere usate senza esplicito permesso.
Notice: All the images contained in this site can't be used without the permission of the site's owner.

Patologie del piede

Aspetti artrosici - Cisti - Erosioni e depressioni ossee

Aspetti artrosici
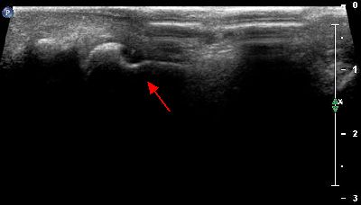
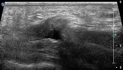
Becco osteofitico della 1a articolazione metatarso-falangea becco osteofitico prima metatarso-falangea
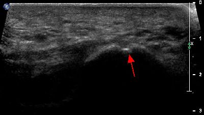
Becco osteofitico falange prossimale becco osteofitico falange prossimale
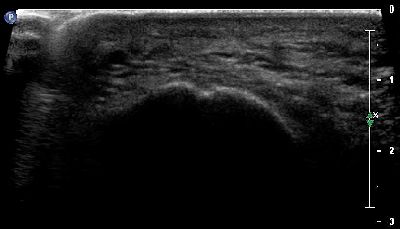
Deformitą del profilo corticale deformitą del profilo corticale
Pannicolo fibrotico intrarticolare
(caso del paziente A.C.)
pannicolo fibrotico intrarticolare
Pannicolo fibrotico intrarticolare
(caso del paziente G.V.)
pannicolo fibrotico intrarticolare


Cisti
Cisti cisti 1
Cisti becco osteofitico falange prossimale
Cisti Cisti
Cisti cisti


Erosioni e depressioni ossee
Depressione calcaneare Depressione calcaneare 01
Depressione calcaneare depressione calcaneare 02
Depressione cuboidea depressione cuboidea 01
Depressione cuboidea depressione cuboidea 02
Depressione 4a testa metatarsale depressione quarta testa metatarsale
Depressione tibiale depressione tibiale
Erosione falange prossimale erosione falange prossimale
Erosione ossea della 3a testa metatarsale erosione terza testa metatarsale
Erosione ossea della 5a testa metatarsale erosione ossea della quinta testa metatarsale 01
Erosione ossea della 5a testa metatarsale erosione ossea della quinta testa metatarsale 02
Erosioni calcaneari erosioni calcaneari

| Home | Patologie | Anatomia | Ecografia Water-Bath | Relazioni/handout | Contatti/Curricula |