Ecografia di Piede Ecografia piede piede piattopiede normalepiede cavo

| Home | Patologie | Anatomia | Ecografia Water-Bath | Relazioni/handout | Contatti/Curricula |
Avviso: Le immagini contenute in questo sito non possono essere usate senza esplicito permesso.
Notice: All the images contained in this site can't be used without the permission of the site's owner.

Patologie del piede

Esostosi - Microcalcificazioni - Microavulsioni - Ipercheratosi

Esostosi
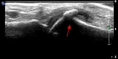
Esostosi falangea esostosi falangea
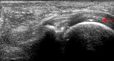
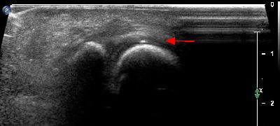
Esostosi prima testa metatarsale esostosi metatarsale
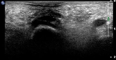
Esostosi scafoidea esostosi scafoidea
Esostosi subungueale in paziente con onicectomia totale esostosi subunguelae


Microcalcificazioni
Calcificazione aponeurosi plantare Calcificazione aponeurosi plantare
Calcificazione capsula articolare Calcificazione capsula articolare
Calcificazione intra articolare (img. 01) Calcificazione intra articolare 01
Calcificazione intra articolare (img. 02) Calcificazione intra articolare 02
Calcificazione intra articolare (img. 03) Calcificazione intra articolare 03
Calcificazione intra tendinea (img. 01) Calcificazione intra tendinea 01
Calcificazione intra tendinea (img. 02) Calcificazione intra tendinea 02


Microavulsioni
Microavulsione falange distale primo dito (img. 01) microavulsione falange distale primo dito 01
Microavulsione falange distale primo dito (img. 02) microavulsione falange distale primo dito 02
Microavulsione tendine peroneo breve microavulsione tendine peroneo breve


Ipercheratosi
Entroflessione a cuneo Entroflessione a cuneo
Ipercheratosi (img. 01) Ipercheratosi 01
Ipercheratosi (img. 02) Ipercheratosi 02
Ipercheratosi (img. 03) Ipercheratosi 03

top

| Home | Patologie | Anatomia | Ecografia Water-Bath | Relazioni/handout | Contatti/Curricula |