Ecografia di Piede Ecografia piede piede piattopiede normalepiede cavo

| Home | Patologie | Anatomia | Ecografia Water-Bath | Relazioni/handout | Contatti/Curricula |
Avviso: Le immagini contenute in questo sito non possono essere usate senza esplicito permesso.
Notice: All the images contained in this site can't be used without the permission of the site's owner.

Patologie del piede

Fascite - Spina calcaneare - Tendinopatie - Flogosi

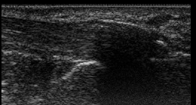
Fascite
Fascite (img. 01) fascite 01
Fascite (img. 02) fascite 02
Fascite (img. 03) fascite 03
Fascite (img. 04) fascite 04
Fascite (img. 05) fascite 05


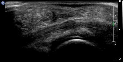
Spina calcaneare
Spina calcaneare (img. 01) Spina calcaneare 01
Spina calcaneare (img. 02) Spina calcaneare 02


Tendinopatie
Tendinopatia achillea Lesione tendine d'Achille 01
Tendinopatia achillea Lesione tendine d'Achille 02
Tendinopatia achillea con calcificazione Tendinopatia achillea con calcificazione
Tendinopatia del muscolo peroneo lungo tendine del m. peroneo lungo
Tendinopatia del muscolo peroneo lungo (2) tendine del m. peroneo lungo


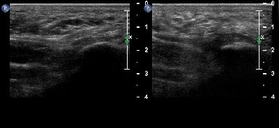
Flogosi
Flogosi plantare (img. 01) flogosi plantare 01
Flogosi plantare (img. 02) flogosi plantare 02
Flogosi plantare (img. 03) flogosi plantare 03
Flogosi plantare (img. 04) flogosi plantare 04
Flogosi plantare (img. 05) flogosi plantare 05

top

| Home | Patologie | Anatomia | Ecografia Water-Bath | Relazioni/handout | Contatti/Curricula |