Ecografia di Piede Ecografia piede piede piattopiede normalepiede cavo

| Home | Patologie | Anatomia | Ecografia Water-Bath | Relazioni/handout | Contatti/Curricula |
Avviso: Le immagini contenute in questo sito non possono essere usate senza esplicito permesso.
Notice: All the images contained in this site can't be used without the permission of the site's owner.

Patologie del piede

Sesamoidi - Sesamoidi accessori - Modifiche anatomiche - Lesioni legamentose

Sesamoidi e Sesamoidi accessori
Alterazioni dei sesamoidi del primo dito Alterazioni sesamoidi primo dito
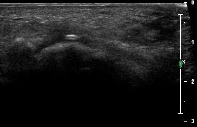
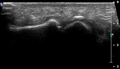
Ipoplasia dei sesamoidi del primo dito (img. 01) Ipoplasia dei sesamoidi del primo dito (img. 01)
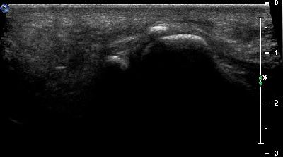
Ipoplasia dei sesamoidi del primo dito (img. 02) Ipoplasia dei sesamoidi del primo dito (img. 02)
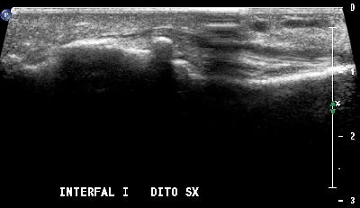
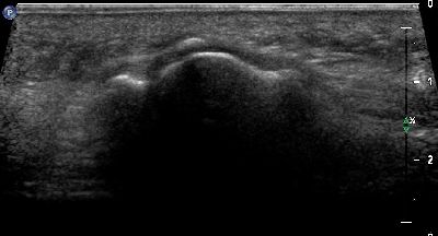
Sesamoide accessorio primo dito interfalangeo (img. 01) Sesamoide accessorio primo dito interfalangeo (img. 01)
Sesamoide accessorio primo dito interfalangeo (img. 02) Sesamoide accessorio primo dito interfalangeo (img. 02)
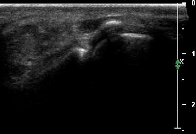
Sesamoide accessorio secondo dito (img. 01) Sesamoide accessorio secondo dito (img. 01)
Sesamoide accessorio secondo dito (img. 02) Sesamoide accessorio secondo dito (img. 02)
Sesamoide accessorio quinto dito (img. 01) Sesamoide accessorio quinto dito (img. 01)
Sesamoide accessorio quinto dito (img. 02) Sesamoide accessorio quinto dito (img. 02)
Sesamoide accessorio quinto dito (img. 03) Sesamoide accessorio quinto dito (img. 03)


Modifiche anatomiche
Base falange prossimale Modifiche anatomiche base falange prossimale
Sesamoidi Modifiche anatomiche sesamoidi
Testa metatarsale (img. 01) Modifiche anatomiche testa metatarsale 01
Testa metatarsale (img. 02) Modifiche anatomiche testa metatarsale 02
Testa metatarsale (img. 03) Modifiche anatomiche testa metatarsale 03


Lesioni legamentose
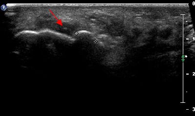
Lesione legamento peroneo-astragalico anteriore Lesione legamento peroneo-astragalico anteriore

top

| Home | Patologie | Anatomia | Ecografia Water-Bath | Relazioni/handout | Contatti/Curricula |