Ecografia di Piede Ecografia piede piede piattopiede normalepiede cavo

| Home | Patologie | Anatomia | Ecografia Water-Bath | Relazioni/handout | Contatti/Curricula |
Avviso: Le immagini contenute in questo sito non possono essere usate senza esplicito permesso.
Notice: All the images contained in this site can't be used without the permission of the site's owner.

Patologie del piede

Neuroma di Morton

Neuroma di Hauser
Neuroma di Morton
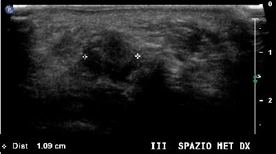
Neuroma di Morton del terzo spazio intermetatarsale (img. 01) Neuroma Morton 01
Neuroma di Morton del terzo spazio intermetatarsale (img. 02) Neuroma Morton 02
Neuroma di Morton con ripresa longitudinale Neuroma Morton  ripresa longitudinale
Neuroma di Morton dell'immagine soprastante con ripresa trasversale Neuroma Morton  ripresa trasversale
Altro neuroma di Morton con ripresa longitudinale Neuroma Morton  ripresa longitudinale
Neuroma di Morton dell'immagine soprastante con ripresa trasversale Neuroma Morton  ripresa trasversale
Altro neuroma di Morton del terzo spazio intermetatarsale Neuroma Morton


Neuroma di Hauser
Neuroma di Hauser del secondo spazio intermetatarsale (img. 01) Neuroma Hauser 01
Neuroma di Hauser con ripresa longitudinale Neuroma Hauser ripresa longitudinale
Neuroma di Hauser dell'immagine soprastante con ripresa trasversale Neuroma Hauser ripresa longitudinale

top

| Home | Patologie | Anatomia | Ecografia Water-Bath | Relazioni/handout | Contatti/Curricula |